whatspp
WELCOME TO DERMADENT SKIN,  HAIR AND DENTAL CLINIC, HYDERABAD.

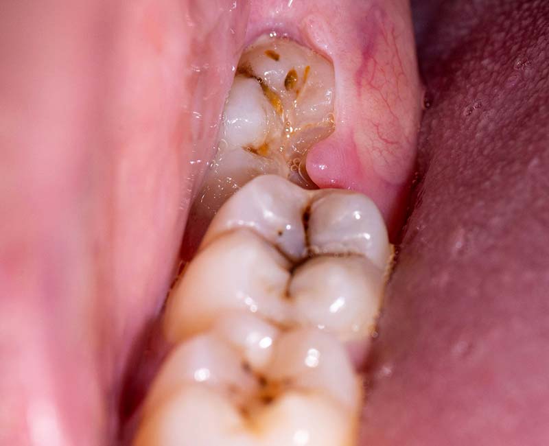
Wisdom Tooth Pain Relief in Kukatpally – When Is Extraction Necessary?

Wisdom Tooth Pain Relief in Kukatpally – When Is Extraction Necessary? This is one of the most common questions people ask when they start feeling severe pain at the back of their mouth. Wisdom tooth pain can be sudden, sharp, and very uncomfortable. Many patients in Kukatpally face swelling, jaw pain, and difficulty eating due to impacted wisdom teeth. Understanding the right time for treatment and extraction can help prevent serious dental problems and long-term discomfort.

braces

braces

What Causes Wisdom Tooth Pain?
Wisdom tooth pain usually happens when the third molars (wisdom teeth) do not grow properly. These teeth are the last to erupt, usually between the ages of 17 and 25. In many cases, there is not enough space in the mouth, which leads to impacted or partially erupted wisdom teeth.Dermadent Clinic
Common causes include:
• Impacted wisdom tooth
• Infection in the gums
• Tooth decay in the back molars
• Food particles trapped near the wisdom tooth
• Swollen gums and inflammation
Patients searching for Wisdom Tooth Pain Relief in Kukatpally often suffer due to impacted wisdom teeth pressing against nearby teeth and nerves, which causes continuous pain and discomfort.

Why Wisdom Teeth Removal is Necessary
Not all wisdom teeth need extraction. Some grow normally without disturbing oral health. But in many cases, removal is the only solution to prevent future complications. Here’s when you should consider wisdom teeth surgery in Hyderabad:
Impacted Teeth: When the tooth grows at an angle and doesn’t fully emerge.
Infections: Repeated gum infections due to trapped food and bacteria.
Crowding: When teeth push others out of alignment.
Cysts or Damage: Rare cases where cysts form near impacted teeth.
Persistent Pain: Ongoing discomfort and swelling in the jaw.
By consulting Dermadent, you get a thorough check-up, including X-rays, to decide whether removal is necessary.
braces

braces

braces

Signs and Symptoms That Need Immediate Attention
Wisdom tooth pain should not be ignored, especially if it becomes frequent. Some symptoms clearly indicate that you need dental treatment as soon as possible.
Important symptoms include:
• Severe pain at the back of the jaw
• Swollen gums near wisdom tooth
• Difficulty opening the mouth
• Bad breath or infection
• Headache and ear pain
• Redness and bleeding gums
If you notice these signs, visiting a professional dental clinic in Kukatpally is the best step for quick Wisdom Tooth Pain Relief in Kukatpally and proper diagnosis.

Wisdom Tooth Pain Relief in Kukatpally – When Is Extraction Necessary?
Wisdom Tooth Pain Relief in Kukatpally – When Is Extraction Necessary? Extraction becomes necessary when the tooth is impacted, infected, or causing damage to nearby teeth. Dentists usually recommend removal only when there is a real dental risk.
Extraction is required in the following cases:
• Impacted wisdom tooth causing severe pain
• Repeated infections in the gums
• Cyst formation around the tooth
• Tooth decay that cannot be treated with fillings
• Damage to nearby molars
• Jaw stiffness and swelling
At a professional dental clinic in Kukatpally, dentists perform digital X-rays and clinical examinations before suggesting extraction. This ensures safe and painless treatment.
Non-Surgical Wisdom Tooth Pain Relief Options
Not every wisdom tooth pain needs immediate removal. In early stages, dentists may suggest simple treatments for relief.
Common pain relief methods include:
• Warm salt water rinses
• Pain relief medication (as prescribed)
• Antibiotics for infection control
• Cleaning of the impacted area
• Gum treatment for inflammation
These temporary solutions can help reduce discomfort. However, if the pain keeps returning, long-term Wisdom Tooth Pain Relief in Kukatpally usually requires extraction.
braces

braces

braces

Benefits of Wisdom Tooth Extraction
Many people feel scared about tooth extraction, but modern dental procedures are safe, quick, and almost painless. Removing a problematic wisdom tooth can provide permanent relief and protect your oral health. Key benefits include:
• Permanent pain relief
• Prevention of infection spread
• Protection of nearby teeth
• Improved oral hygiene
• Better jaw comfort
• Reduced swelling and gum issues
Dental clinics like Dermadent focus on advanced and gentle extraction techniques, ensuring a comfortable experience for patients in Kukatpally.
What to Expect During Wisdom Tooth Extraction Procedure
Understanding the procedure reduces fear and anxiety. The process is simple and done under local anesthesia. Step-by-step procedure:
• Dental examination and X-ray
• Local anesthesia for painless treatment
• Gentle removal of wisdom tooth
• Cleaning and stitching (if needed)
• Post-treatment care instructions
The entire process usually takes 30–45 minutes. After extraction, patients experience fast Wisdom Tooth Pain Relief in Kukatpally with proper aftercare and medication.
Why Choose a Professional Dental Clinic in Kukatpally?
Choosing an experienced dental clinic is essential for safe diagnosis and treatment. Advanced dental clinics provide digital scanning, painless procedures, and personalized treatment plans for wisdom tooth problems.
A trusted clinic offers:
• Experienced dentists
• Modern dental equipment
• Safe and painless extraction
• Affordable treatment options
• Complete oral care solutions
Professional dental care ensures that patients receive the best Wisdom Tooth Pain Relief in Kukatpally with long-term dental health benefits.
braces

Frequently Asked Questions

Frequently Asked Questions
1. What is wisdom tooth extraction?

It’s the surgical removal of problematic wisdom teeth to prevent pain and infections.

2. Is wisdom tooth extraction painful?
No, the procedure is done under local anesthesia, making it painless and comfortable.
3. How long does wisdom tooth pain last?

Pain may last a few days to weeks depending on infection and tooth position. Proper treatment gives quick relief.

4. Can wisdom tooth pain go away without extraction?

Mild pain may reduce with medication, but impacted or infected teeth usually require removal.

5. What is the cost of wisdom tooth extraction in Kukatpally?

The cost depends on tooth position, complexity, and clinic facilities. A dental consultation gives exact pricing.

6. How many days does it take to heal after extraction?

Initial healing takes 3–7 days, and full recovery may take 2–3 weeks.

7. Is it safe to delay wisdom tooth extraction?

Delaying treatment can cause infection, swelling, and damage to nearby teeth, so early consultation is advised.

8. Where can I get the best Wisdom Tooth Pain Relief in Kukatpally?

You can visit an experienced and well-equipped dental clinic in Kukatpally that offers advanced diagnosis and painless extraction services.

Conclusion

Wisdom tooth pain can seriously affect your daily life, eating habits, and sleep quality. Ignoring the pain may lead to infection, swelling, and damage to nearby teeth. Understanding Wisdom Tooth Pain Relief in Kukatpally – When Is Extraction Necessary? helps patients make the right decision at the right time. While temporary remedies may reduce pain, extraction is often the best solution when the tooth is impacted or infected. Consulting a skilled dentist in Kukatpally ensures accurate diagnosis, painless treatment, and fast recovery. Early treatment always saves time, money, and future dental complications.